agy Tag


Beszélj szeretettel, hiszen a szavak megváltoztathatják az agyunkat! A szavak, amelyeket használsz, megváltoztathatják a gondolkodásodat és az agy működésében is változásokat

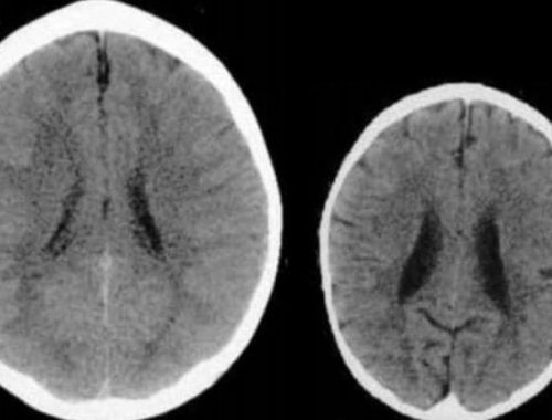
Egy brit kutatás olyan fiatal felnőtteket vizsgált, akik első éveiket romániai árvaházakban töltötték a kilencvenes évek elején. A tudósok tapasztalatai

Egy amerikai kutatócsoport megállapította, hogy a közvélekedéssel szemben nincs különbség a lányok és fiúk agyfejlődésében: sem az agyfunkciókban, sem a

Mágneses magrezonanciás képalkotó eljárással bizonyították, hogy a kijelzők, képernyők korai használata kihat az agy fejlődésére. Az amerikai Cincinnati Gyermekkórház orvosai tudományos

A mai kisgyerekes szülők egy komoly hibát elkövetnek, ezáltal a gyerekek nem a saját fejlődési ütemükben és természetes módon fejlődnek

Az alváshiány teljesen másképpen hat a gyermekek agyára, mint a felnőttekére, és náluk sokkal súlyosabb problémát okoz egy friss kutatás

Miért elengedhetetlen a biciklizés gyerekkorban? Hogyan fejleszti a biciklizés észrevétlenül a kisgyerekeket? Tudtad, hogy napi 15 perc biciklizéssel jobban teljesíthet

Rengeteg kutatás foglalkozik a bullying káros következményeivel, most azonban azt vizsgálták, hogy milyen fizikai hatást gyakorol az agyra az iskolai

Az érzelmi bántalmazás és elhanyagolás rendkívül súlyos hosszú távú következményekkel jár együtt: befolyásolja az agyműködést és a kognitív fejlődést, ráadásul

Elgémberedett végtagok, kényszerpózban végigforgolódott éjszakák – a legtöbb szülő számára ismerős a szituáció: felmérések szerint a családok 85%-ában jellemző, hogy

A weboldalon "cookie-kat" ("sütiket") használunk, hogy a legjobb felhasználói élményt nyújthassuk látogatóinknak. A cookie beállítások igény esetén bármikor megváltoztathatók a böngésző beállításaiban.